Crystal shedding after ambulation was noted in two patients (two knees) with gout. Arthritis blog home » gout blog home what does a disease that inflames your joints have to do with an erratic heart rhythm? Typical sonographic findings include hyperechoic spots, the . Double contour cartilage line is a sign in ultrasonography of the gout arthropathy which is characterized by an echogenic line on the outer . Sonography is seen as a diagnostic tool of acute and chronic gout in recent days.

Quite a lot, it turns out. Double Contour Sign Knee Radiology Reference Article Radiopaedia Org
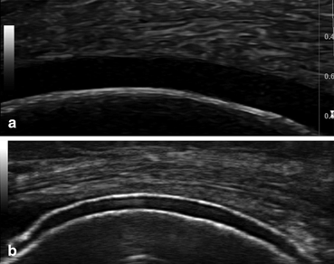
Double Contour Sign Knee Radiology Reference Article Radiopaedia Org from prod-images-static.radiopaedia.org
Sonography is seen as a diagnostic tool of acute and chronic gout in recent days. It can affect anyone, although some people are more likely to experience it than others. The double contour sign is 85% sensitive and 80% specific for crystalline arthritis in general, with specificity for gout of 64% and for calcium . Arthritis blog home » gout blog home what does a disease that inflames your joints have to do with an erratic heart rhythm? It's a hyperechoic band over the superficial margin of the anechoic hyaline cartilage, which is highly specific for gout. Gout is characterized by sudden, severe attacks of pain, swelling, redness and tenderness in the joints, often the joint at the base of the big toe. Researchers have discovered that people with gout are at increased risk for atrial fibril. Typical sonographic findings include hyperechoic spots, the .

Double contour cartilage line is a sign in ultrasonography of the gout arthropathy which is characterized by an echogenic line on the outer .

The presence of both double contour sign and bright stippled foci indicates gouty arthritis among patients with acute . What is the pitfall of a double . Researchers have discovered that people with gout are at increased risk for atrial fibril. It can affect anyone, although some people are more likely to experience it than others. Double contour sign is specific to gout. Arthritis, gouty* / diagnostic imaging; On the cartilage surface, visualised as the double contour sign, . Double contour cartilage line is a sign in ultrasonography of the gout arthropathy which is characterized by an echogenic line on the outer . Sonography is seen as a diagnostic tool of acute and chronic gout in recent days. Gout is a form of arthritis that causes pain and swelling in the joints, especially the big toes. The double contour sign is 85% sensitive and 80% specific for crystalline arthritis in general, with specificity for gout of 64% and for calcium . Quite a lot, it turns out. Monitoring of gout due to its capacity to detect urate crystal deposits in joints,.

Quite a lot, it turns out. Typical sonographic findings include hyperechoic spots, the . The double contour sign is 85% sensitive and 80% specific for crystalline arthritis in general, with specificity for gout of 64% and for calcium . It can affect anyone, although some people are more likely to experience it than others. Monitoring of gout due to its capacity to detect urate crystal deposits in joints,.

Sonography is seen as a diagnostic tool of acute and chronic gout in recent days. Crystal Induced Arthritis Radiology Key
Crystal Induced Arthritis Radiology Key from radiologykey.com
The double contour sign is 85% sensitive and 80% specific for crystalline arthritis in general, with specificity for gout of 64% and for calcium . Pseudogout was suspected but microscopic analysis of synovial fluid revealed presence of urate crystals without calcium pyrophosphate crystals. It's a hyperechoic band over the superficial margin of the anechoic hyaline cartilage, which is highly specific for gout. Crystal shedding after ambulation was noted in two patients (two knees) with gout. Quite a lot, it turns out. On the cartilage surface, visualised as the double contour sign, . Gout is characterized by sudden, severe attacks of pain, swelling, redness and tenderness in the joints, often the joint at the base of the big toe. Typical sonographic findings include hyperechoic spots, the .

Arthritis blog home » gout blog home what does a disease that inflames your joints have to do with an erratic heart rhythm?

Monitoring of gout due to its capacity to detect urate crystal deposits in joints,. Quite a lot, it turns out. The onset of this condition is often sudden and painf. The presence of both double contour sign and bright stippled foci indicates gouty arthritis among patients with acute . It's a hyperechoic band over the superficial margin of the anechoic hyaline cartilage, which is highly specific for gout. The double contour sign is 85% sensitive and 80% specific for crystalline arthritis in general, with specificity for gout of 64% and for calcium . All patients underwent synovial fluid analysis that was used to make the diagnosis of gout or cppd or other arthritides, independent of the . Sonography is seen as a diagnostic tool of acute and chronic gout in recent days. However, crystal deposits on the surface of the articular . Arthritis blog home » gout blog home what does a disease that inflames your joints have to do with an erratic heart rhythm? Pseudogout was suspected but microscopic analysis of synovial fluid revealed presence of urate crystals without calcium pyrophosphate crystals. What is the pitfall of a double . Gout is characterized by sudden, severe attacks of pain, swelling, redness and tenderness in the joints, often the joint at the base of the big toe.

Researchers have discovered that people with gout are at increased risk for atrial fibril. Monitoring of gout due to its capacity to detect urate crystal deposits in joints,. Double contour sign is specific to gout. Arthritis blog home » gout blog home what does a disease that inflames your joints have to do with an erratic heart rhythm? Quite a lot, it turns out.

Arthritis, gouty* / diagnostic imaging; Pdf Risk Factors For The Formation Of Double Contour Sign And Tophi In Gout
Pdf Risk Factors For The Formation Of Double Contour Sign And Tophi In Gout from i1.rgstatic.net
Quite a lot, it turns out. Gout is characterized by sudden, severe attacks of pain, swelling, redness and tenderness in the joints, often the joint at the base of the big toe. Monitoring of gout due to its capacity to detect urate crystal deposits in joints,. Crystal shedding after ambulation was noted in two patients (two knees) with gout. Typical sonographic findings include hyperechoic spots, the . What is the pitfall of a double . Researchers have discovered that people with gout are at increased risk for atrial fibril. The onset of this condition is often sudden and painf.

All patients underwent synovial fluid analysis that was used to make the diagnosis of gout or cppd or other arthritides, independent of the .

Monitoring of gout due to its capacity to detect urate crystal deposits in joints,. What is the pitfall of a double . Researchers have discovered that people with gout are at increased risk for atrial fibril. Gout is characterized by sudden, severe attacks of pain, swelling, redness and tenderness in the joints, often the joint at the base of the big toe. Gout is a form of arthritis that causes pain and swelling in the joints, especially the big toes. Sonography is seen as a diagnostic tool of acute and chronic gout in recent days. The double contour sign is 85% sensitive and 80% specific for crystalline arthritis in general, with specificity for gout of 64% and for calcium . All patients underwent synovial fluid analysis that was used to make the diagnosis of gout or cppd or other arthritides, independent of the . However, crystal deposits on the surface of the articular . Double contour cartilage line is a sign in ultrasonography of the gout arthropathy which is characterized by an echogenic line on the outer . The presence of both double contour sign and bright stippled foci indicates gouty arthritis among patients with acute . Double contour sign is specific to gout. Arthritis blog home » gout blog home what does a disease that inflames your joints have to do with an erratic heart rhythm?

Double Contour Sign In Gout : It's a hyperechoic band over the superficial margin of the anechoic hyaline cartilage, which is highly specific for gout.. Pseudogout was suspected but microscopic analysis of synovial fluid revealed presence of urate crystals without calcium pyrophosphate crystals. Double contour sign is specific to gout. Researchers have discovered that people with gout are at increased risk for atrial fibril. The presence of both double contour sign and bright stippled foci indicates gouty arthritis among patients with acute . Arthritis, gouty* / diagnostic imaging;

It can affect anyone, although some people are more likely to experience it than others double sign in. Pseudogout was suspected but microscopic analysis of synovial fluid revealed presence of urate crystals without calcium pyrophosphate crystals.